How General Awareness Relates to Gum Health
Observing changes in the gums over time
Gum disease is often discussed in relation to overall oral health awareness because many people notice gradual changes in the way their gums look or feel throughout different stages of life. These changes are commonly observed during routine oral hygiene moments, such as brushing or flossing, or simply when looking at the smile. Gum disease is generally described as a condition involving the tissues that surround and support the teeth, and conversations about it tend to focus on recognition, visibility, and understanding rather than on medical intervention. Awareness plays a central role in how individuals interpret these changes and connect them to broader oral health conditions.
Understanding Gum Disease at a General Level
Gum disease is a general term often used to describe concerns related to gingival health and periodontal disease. It may involve noticeable differences in gum color, texture, or overall appearance. These changes are typically discussed in non clinical terms, emphasizing observation and familiarity rather than diagnosis. By understanding gum disease as part of a wider oral health conversation, individuals can better recognize how gum tissues relate to the teeth and the rest of the mouth. This high level perspective supports informed awareness without focusing on treatment or medical direction.
Everyday Factors Commonly Linked to Gum Disease
Many discussions about gum disease include references to everyday factors that influence the oral environment. Routine habits, personal hygiene awareness, and environmental exposure are often mentioned when people talk about changes in their gums. These factors are described broadly, without assigning cause or effect, and are framed as part of daily life rather than clinical risk. Such conversations highlight how gum inflammation and other oral health conditions may be noticed over time, reinforcing the importance of attentiveness and personal observation.
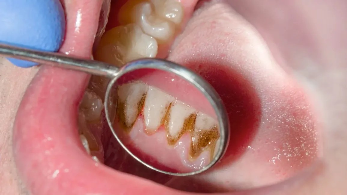
The Role of Gum Inflammation in Oral Awareness
Gum inflammation is frequently referenced in discussions about gingival health because it is one of the more noticeable changes people tend to observe. Inflammation is generally described as a visible response within the gum tissues, often associated with redness or puffiness. These descriptions remain observational and informational, focusing on what people see rather than why it occurs or how it should be addressed. Understanding gum inflammation at this level helps frame gum disease as an awareness based topic rather than a medical directive.
Gingival Health and the Structure of the Mouth
Gingival health is an important part of oral structure because the gums provide a visual and functional foundation around the teeth. Conversations about gum disease often reference how healthy looking gums contribute to a balanced smile and overall oral appearance. Periodontal disease may be discussed in this context as part of a spectrum of oral health conditions that affect how the mouth looks and feels. These discussions remain educational, focusing on structure and awareness instead of clinical outcomes.
Recognizing Common Signs of Gum Disease
The signs of gum disease are often talked about in general terms, emphasizing what individuals may notice during everyday routines. These signs can include changes in color, texture, or comfort that prompt curiosity or concern. Discussions about signs of gum disease are framed around recognition rather than evaluation, allowing people to become more familiar with their own oral health patterns. This approach supports informed awareness without encouraging self diagnosis or medical action.
Why Gum Disease Awareness Matters
Awareness of gum disease matters because it encourages individuals to stay engaged with their oral health on a personal level. By understanding common oral health conditions and how they present visually, people may feel more confident in discussing concerns and seeking information. Gum disease awareness supports a broader understanding of periodontal disease and gingival health as part of lifelong oral care conversations. This emphasis on education helps reinforce the value of staying informed without crossing into medical guidance.
Gum Disease and Long Term Oral Health Outlook
Over time, gum disease becomes part of a larger oral health narrative that includes awareness, personal perception, and confidence in one’s smile. Many people view gum health as closely connected to how they feel about their overall appearance and oral condition. Understanding gum disease from an informational standpoint allows individuals to remain attentive and knowledgeable while respecting the boundaries between awareness and medical care. This balanced perspective keeps the focus on education, observation, and informed understanding.
FAQ’s
- What does gingival health mean in everyday language?
Gingival health generally refers to how the gums look, feel, and appear over time during normal oral care routines. - Is gum infection something people notice suddenly or gradually?
Gum infection is most often noticed gradually through small changes that become more familiar with regular observation. - How does oral health awareness develop over time?
Oral health awareness develops through consistent routines and paying attention to normal patterns in the mouth. - Are gum related changes the same for everyone?
Gum related changes can vary from person to person, which is why awareness is often discussed as a personal experience. - Why are gums discussed separately from teeth in oral health topics?
Gums are discussed separately because they support the teeth and play a distinct role in overall oral structure. - Can gum infection awareness change with age?
Yes, awareness may change as routines, habits, and personal attention to oral health evolve over different life stages. - How do people usually learn about gum infection?
Most people learn about gum infection through general education, personal observation, and everyday oral health discussions. - Is gum infection only discussed in professional settings?
No, gum infection is often discussed casually as part of everyday conversations about oral health and hygiene.

