AI Meets Outsourcing: The Next Evolution of Healthcare BPO Operations
The next evolution of healthcare Business Process Outsourcing (BPO) centers on “intelligence arbitrage” rather than labor arbitrage. By integrating Agentic AI into revenue cycle management (RCM) and administrative workflows, health systems now achieve autonomous processing for 80% of routine claims, allowing BPO partners to pivot from headcount-based staffing to high-stakes error resolution and complex denial management.…
The Boomer Generation’s Growing Embrace of Technology: A Floor Clinician’s Perspective
I had a 73-year-old client in my Speech Language Pathology practice, post-CVA, who lived alone and was determined to overcome his stroke-induced visual, attention, and executive functioning deficits. His goal? To regain the ability to use his smartphone for Amazon shopping and, of course, to “Netflix and chill” once again. That got me thinking—how is…
Senad Dizdarevic Presents Complete AIPA Method: Revolutionary Personal Development System for Faith Deconstruction and Awakening Into Pure Awareness
Comprehensive Guide Addresses Physical, Mental, Emotional, and Behavioral Transformation for Religious Believers, Ex-Christians, Atheists, and Self-Development Practitioners LJUBLJANA, Slovenia – February 7, 2026 – Personal development author Senad Dizdarevic today released the first complete, unified presentation of the AIPA Method (Awakening Into Pure Awareness), a transformative system designed to guide individuals from religious programming and…
A Step-By-Step Guide to Safely Ordering Prescription Drugs Online
Learn how to safely order meds online with prescription requirements, choose licensed pharmacies, and protect your health with this step-by-step guide.
How Daily Lifestyle Habits Relate to Tooth Shade
Observing how routines may affect smile brightness Teeth whitening is often discussed alongside everyday habits because many people notice gradual changes in how their teeth look over time. Tooth appearance is shaped by a combination of natural traits and daily exposure to foods, beverages, and environmental factors. These influences may affect how light or dark…
Endodontics and Prosthodontics in Understanding Complete Tooth Health
Exploring internal and restorative awareness in modern dentistry Dentistry includes multiple areas of focus that work together to build a complete understanding of oral health. Two of these areas, endodontics and prosthodontics, offer complementary perspectives. One centers on the internal structures of natural teeth, while the other focuses on restoring balance when teeth are missing…
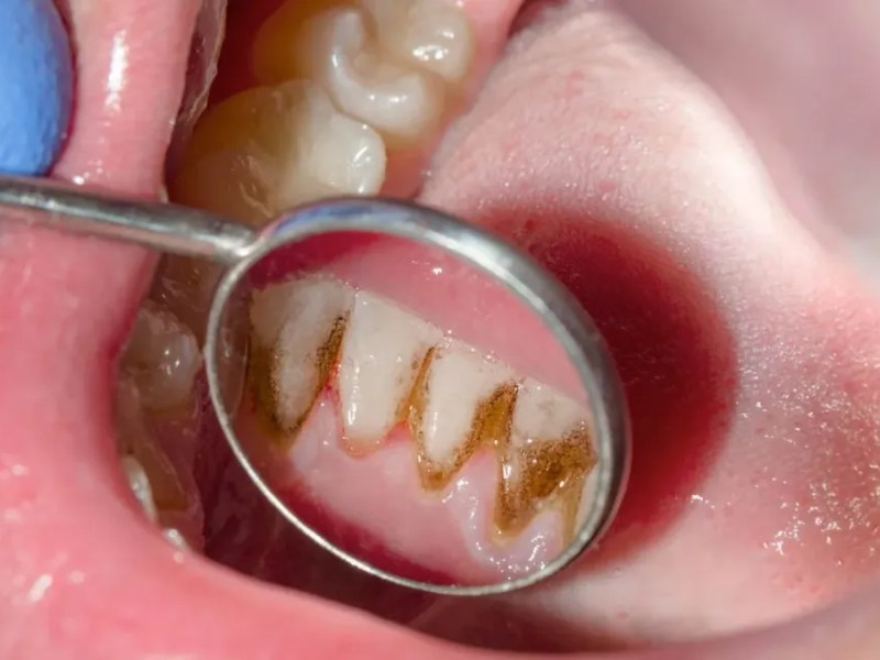
Gum Disease and Everyday Factors That Influence Oral Health Awareness
How General Awareness Relates to Gum Health Observing changes in the gums over time Gum disease is often discussed in relation to overall oral health awareness because many people notice gradual changes in the way their gums look or feel throughout different stages of life. These changes are commonly observed during routine oral hygiene moments,…
COPD and Rest: Understanding How Breathing Awareness Relates to Sleep and Relaxation
How Rest and Breathing Awareness Connect With COPD Observing breathing patterns during relaxation and sleep COPD is commonly discussed as a long term respiratory condition that influences breathing throughout daily life. While much attention is often given to breathing during physical activity, periods of rest and relaxation are also an important part of respiratory awareness.…
Supporting Cognition and Communication in Mild Cognitive Impairment
Aging can bring gradual changes in memory, attention, and processing speed. For some older adults, these changes become more noticeable but do not fully disrupt independence. This in-between stage is often described as mild cognitive impairment (MCI), where thinking skills decline more than expected for age, while day-to-day functioning is largely preserved. When cognition shifts,…
Pregnancy Anomaly Scan: What You Need to Know Beforehand
The pregnancy journey is filled with moments of wonder and anticipation. One important milestone along the way is the anomaly scan, a detailed ultrasound performed typically between 18 and 24 weeks of pregnancy. This scan plays a crucial role in assessing your baby’s development and ensuring everything is progressing well. Whether you’re a first-time parent or…
Something went wrong. Please refresh the page and/or try again.
Follow My Blog
Get new content delivered directly to your inbox.
